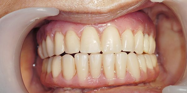
Paciente desdentada total superior en inferior
Esta sección es exclusivamente para profesionales debido a que contiene imágenes y texto de tratamientos quirúrgicos-proteticos no recomendables para el público general.
Paciente desdentada total superior en inferior
75 AÑOS- SEXO FEMENINO – Colocación de 6 implantes en maxilar inferior de los cuales solo 4 cargamos inmediatamente por no tener la suficiente fijación inicial.
Ver más


